Click to subscribe to RSS for real time updates
http://www.anboini.com/product/latest/feeds/
You could add above URL in your favorite RSS reader
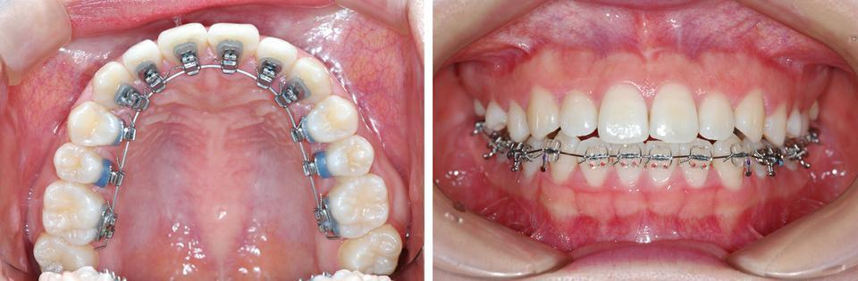
For 25 years, we have used Fujita’s multi-slotted lingual brackets and its associated mushroom archwires, who is the originator of lingual orthodontics. By the change of the time, the concept of the straight archwire also came into request in lingual orthodontics, which could not keep up with the Fujita lingual bracket. ...more