Customization

치아의 뒷면은 앞면과 달리 형태가 다양하고 불규칙해서 브라켓을 직접 부착하기 위한 접근이 어렵습니다. 브라켓을 제 위치에 정확하게 붙이기 위해, 브라켓을 맞춤 제작하는 과정이 포함된 간접 부착법이 추천됩니다.

설측 브라켓을 환자의 치아에 맞게 맞춤제작하고, preformed lingual straight archwire의 size를 결정하고, individual transfer tray를 만드는 과정을 통해 CLIB (Customized Lingual Indirect Bonding) method1는 안보이니 시스템을 보완합니다.

1. Hong RK, Kim YH, and Park JY. A new customized lingual indirect bonding system. J Clin Orthod 2000;34:456-60.


Indirect Bonding Process

  • 1. Setup model

    교정의사가 환자에 맞게 작성한 주문서와 Andrews’ Six Keys에 따라 고품질의 수작업 셋업 모형이 만들어집니다.

  • 2. Bracket customization

    Setup model에서, 안보이니 설측 브라켓은 각 치아에 맞는 처방을 갖도록 부착됩니다. 특별한 브라켓 위치기구를 이용해, 브라켓들은 ideal setup에 광중합 레진으로 부착됩니다.

    각 환자에 맞는 처방에 따라 각 브라켓에 torque, in-out, angulation이 맞춤 제작됩니다. 맞춤 제작된 torque, in-out, angulation은 각 브라켓 베이스의 레진에 내장됩니다.

  • 3. Preformed straight archwire

    Setup model에서, 안보이니 설측 브라켓이 각 치아에 맞는 처방을 갖도록 부착됨과 동시에 각 악궁의 lingual straight archwire의 size가 결정됩니다. 안보이니 시스템에는, 세 가지 크기(small, medium, large)의 lingual straight archwire form이 준비되어 있고, 그 중 하나를 상악 또는 하악에 사용하면 됩니다.

  • 4. Individual transfer tray

    브라켓을 정밀하고 효율적으로 환자의 치아에 전달하기 위해 셋업 모형에서 바로 individual transfer tray를 제작합니다. Group transfer tray와 비교해, individual transfer tray는 향상된 정확성, 모든 경우에 적용할 수 있는 능력, 개별 브라켓의 이상적 위치 재현성을 제공합니다.

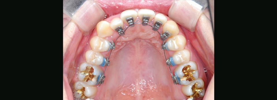
  • 5. Indirect bonding

    Individual transfer tray를 사용해 맞춤 제작된 안보이니 설측 브라켓은 정밀하고 효율적으로 각 치아에 부착되고, preformed straight archwire를 차례차례 교체하면서 치료는 편리하게 진행됩니다.